Некоторые возможности эхографии в детской практике
Некоторые возможности эхографии в детской практике
И.В. Дворяковский
НИИ педиатрии Научного центра здоровья детей РАМН, Москва
URL
Ультразвуковая диагностика (эхография) является сейчас одним из основных диагностических методов, используемых в педиатрической практике. На основании результатов, полученных при ультразвуковом исследовании (УЗИ), может быть составлен план дальнейшего диагностического обследования пациента и/или определена лечебная тактика для конкретного больного. Преимуществами УЗИ перед другими визуальными методами (компьютерная томография, контрастная рентгенография, магнитно-резонансная томография, радиоизотопные исследования) являются полное отсутствие противопоказаний к применению и необходимости использования контрастных веществ, возможность оценки всех интересующих органов и систем в процессе одного обследования, получения заключения о состоянии пациента сразу после окончания исследования, отсутствие ионизирующего излучения, сравнительно низкая цена обследования. Все перечисленные достоинства особенно важны при обследовании детей. Возможности получения оптимальных эхограмм ограничены при оценке костей и тех органов, которые содержат газ.
Ультразвуковая диагностика применяется в основном при исследовании головного мозга, особенно у детей первого года жизни, вилочковой и щитовидной железы, сердца, паренхиматозных органов брюшной полости и забрюшинного пространства, желудочно-кишечного тракта (желудка, двенадцатиперстной и толстой кишки), органов малого таза, суставов, особенно у детей раннего возраста, придаточных пазух носа, всех крупных сосудов. Относительно ограничены возможности исследования легких, тонкой кишки, полностью - костной ткани.
В рамках одной статьи невозможно раскрыть все возможности УЗИ перечисленных органов и систем, но все это изложено в ранее опубликованных нами работах [1, 2]. Поэтому, основываясь на более чем 25-летнем опыте применения эхографии у детей, предлагаем иллюстрации к использованию метода по признаку наиболее частой обращаемости к специалистам ультразвуковой диагностики - это макроцефалия у детей первого года жизни, боли в животе, хронические запоры, инфекция мочевыводящих путей.
Макроцефалия
Причиной макроцефалии могут быть семейная макроцефалия (СМ), рахит, гипертензионно-гидроцефальный синдром (ГГС) и гидроцефалия.
В случаях СМ (87 детей) при УЗИ головного мозга определялись: нормальная желудочковая система (ширина боковых и III желудочка не превышала 4 мм), расширение межполушарной щели, обычно только в области лобных долей и не превышавшее 8 мм (в среднем 5,3 + 0,07 мм). Основной показатель допплеровской оценки мозгового кровотока - индекс резистентности (ИР) - всегда находился в пределах нормы: 0,7 + 0,04. Данные динамического исследования были постоянными.
При рахите (113 детей), согласно данным эхографии, размеры всех желудочков находились в пределах нормы. Межполушарная щель была расширена до 6,5 + 0,02 мм (при максимуме 10,2 мм), причем это наблюдалось не только в области лобных, но и затылочных долей, что указывало на большую глубину расширения. ИР находился в пределах нормы. Динамическое исследование в процессе лечения демонстрировало постепенное сужение межполушарной щели, происходившее на фоне специфического лечения и нормализации роста головы.
При УЗИ головного мозга у 121 ребенка с ГГС в 100% случаев определялись расширенные боковые желудочки, причем, если у детей до 2 мес жизни максимальное расширение имелось в области задних рогов, то у более старших - обычно в области тел и передних рогов. Средние размеры расширения составили 6,3 + 0,8 мм при максимуме 11 мм. Расширение III желудочка наблюдалось у 34% детей, составляя в среднем 5,7 + 0,2 мм при максимуме 9,2 мм. У всех детей наблюдалось повышение ИР - 0,85 + 0,05, что указывало на гипертонус артериальных сосудов и косвенно свидетельствовало о внутричерепной гипертензии. Четкой корреляции между индексом резистентности и выраженностью гипертензионного синдрома не отмечено, однако можно говорить о тенденции к наличию такой связи. На фоне дегидратационной терапии динамическое исследование показало постепенную нормализацию размеров желудочков и ИР.
С помощью УЗИ могут быть распознаны все виды обструктивной гидроцефалии и определен уровень блокады, поскольку визуализируются все отделы вентрикулярной системы. Гидроцефалия может быть внутренней, смешанной и наружной, а также носить обструктивный и необструктивный характер. Изолированно наружная гидроцефалия встречается крайне редко и только при атрофии мозга. При этом основным ее признаком является расширение субарахноидального пространства. При УЗИ увеличение этого отдела мозга может быть заподозрено по расширению межполушарной щели, определению жидкостного содержимого между черепом и веществом мозга и утолщенным высокоэхогенным щелям и бороздам, т.е. изолированное расширение межполушарной щели не может быть диагностическим признаком наружной гидроцефалии, хотя в последнее время довольно часто именно этот признак указывают как основной для постановки такого диагноза. В результате детям неоправданно ставят серьезный диагноз и назначают необоснованное лечение, а родителям наносится тяжелая психоэмоциональная травма.
Таким образом, для СМ и рахита типично только умеренное расширение межполушарной щели, а для ГГС - умеренное расширение боковых и III желудочков, увеличение ИР. Увеличение межполушарной щели без сопоставления с данными анамнеза и клиники не является ультразвуковым критерием наружной гидроцефалии (рис. 1, 2).
Рис. 1. Эхограмма лобных долей мозга грудного ребенка при семейной
гидроцефалии.
Маркерами обозначена расширенная межполушарная щель.
Рис. 2. Эхограмма лобных долей грудного ребенка при наружной
гидроцефалии.
Маркерами обозначены расширенные межполушарная щель и
субарахноидальное пространство.
Боли в животе
При ультразвуковом обследовании ребенка, жалующегося на боли в животе, должны быть оценены желчный пузырь, поджелудочная железа, желудок и двенадцатиперстная кишка, почки, органы малого таза у девочек.
Анализ результатов клинико-лабораторного, ультразвукового и инструментального обследования 2500 детей в возрасте от 1 года до 16 лет показал, что причиной абдоминального синдрома в 69% случаев явились отклонения со стороны желчного пузыря, причем только у 8,5% они носили нефункциональный характер (холецистит, калькулез); в 19% случаев отклонения со стороны верхних отделов желудочно-кишечного тракта, в 4,7% - почек, в 3,5% - яичников и в 0,2% - объемные образования в брюшной полости.
Изменения желчного пузыря были представлены в основном нарушением его формы - перегибы в области дна, тела (21%), S-образные перегибы (9%) и наличие перегородок и перетяжек (7%). У 12% детей имело место увеличение желчного пузыря, у 8% - утолщение стенок более чем на 2 мм, что является ультразвуковым признаком холецистита. У 0,5% детей в просвете пузыря были выявлены конкременты, размер которых не превышал 6 мм, из них у 82% они не были кальцинированы. Этот вывод был сделан на основании отсутствия "дистальной тени" за эхосигналом от конкремента. Оценка сократительной функции желчного пузыря позволила в 83% случаев выявить ее нарушение, причем в 71% из них оно носило гипомоторный характер. В ряде случаев перечисленные отклонения в состоянии желчного пузыря были смешанными. Чаще всего наблюдалось сочетание аномалий с увеличением желчного пузыря (рис. 3 - 5).
Рис. 3. Эхограмма желчного пузыря с S-перегибом.
Рис. 4. Эхограмма желчного пузыря при хроническом холецистите.
Рис. 5. Эхограмма желчного пузыря с конкрементом (обозначен стрелкой).
Поскольку моторная функция желчного пузыря имеет существенное значение в структуре причин болей в животе, важно ее правильное определение. Оценка сократительной функции пузыря проводится после желчегонного завтрака, в качестве которого должен применяться только сырой желток. С этой целью не могут быть использованы ни вареный желток, ни масло, ни сливки и прочие сходные продукты, поскольку состав и количество одних невозможно точно стандартизировать, другие же оказывают чрезвычайно слабое воздействие на желчный пузырь. Применение таких видов завтрака обязательно приведет к разночтениям в трактовке полученного результата (особенно если исследования проводятся в различных учреждениях) и, следовательно, к неправильным рекомендациям.
Важное значение имеет методика измерения желчного пузыря в процессе его сокращения. Полагаем, что наиболее точным является определение трех линейных размеров: длины, ширины и толщины органа, которые в норме должны уменьшиться не более чем на 2/3 через 1 ч после завтрака. Если их сокращение будет большим, то можно говорить о гипермоторной функции, меньшим - о гипомоторной.
В последнее время все чаще ставится вопрос об оценке размера желчного пузыря и его моторной функции по объему. Действительно, объем органа точнее отражает его абсолютный размер, однако только в тех случаях, когда форма близка к какой-то геометрической фигуре. К сожалению, даже с учетом поправочных коэффициентов это не может быть применено к желчному пузырю, поскольку его форма бывает грушевидной, цилиндрической, эллипсовидной, округлой и пр. Кроме того, форма желчного пузыря может меняться в процессе его сокращения. Помимо всего сказанного, в 37% случаев, по нашим данным, желчный пузырь имеет различные виды перегибов и перетяжек, что также делает невозможным вычисление его объема с использованием геометрических формул. Наиболее точным методом определения объема любого органа вообще и желчного пузыря в частности является метод, построенный на суммировании объемов цилиндров, получаемых через определенный интервал при поперечном сканировании. Однако эту формулу крайне тяжело использовать для такого небольшого органа, как желчный пузырь, и ее практическое использование, на наш взгляд, пока бесперспективно.
Исходя из всего сказанного, считаем, что на сегодняшний день наиболее точный вывод о сократительной функции желчного пузыря может быть сделан при использовании трех линейных размеров.
У 19% от общего количества детей при УЗИ строго натощак было определено значительное количество жидкостного содержимого в желудке и/или двенадцатиперстной кишке, что трактовалось как гиперсекреция. У 40% от этого количества пациентов имелись утолщение стенок желудка и двенадцатиперстной кишки свыше 5 мм и нарушение их структуры. Указанные эхографические изменения трактовались как косвенные признаки гастрита и/или дуоденита (рис. 6). Проведенное эндоскопическое исследование у 96% детей подтвердило наличие этой патологии. У 2% детей с наиболее измененными на эхограммах стенками была определена язвенная болезнь.
Рис. 6. Эхограмма пилорического отдела желудка при гиперсекреции.
По данным УЗИ об изменениях в поджелудочной железе можно говорить только на основании ее увеличения, изменения эхогенности паренхимы и расширения вирсунгова протока. Совокупность этих признаков наблюдалась у 12% детей, при этом отмечались или диффузное увеличение железы и признаки отека (снижение эхогенности паренхимы), или уплотнение паренхимы (увеличение эхогенности паренхимы). У 28% пациентов на фоне увеличения поджелудочной железы обычно в области хвоста визуализировались уплотненные стенки паренхиматозных сосудов, что могло быть связано с аллергическим статусом ребенка или реактивными изменениями органа.
Примерно у трети пациентов отмечалось сочетание отклонений со стороны желчевыводящей системы и/или верхних отделов желудочно-кишечного тракта, и/или поджелудочной железы.
Помимо оценки органов пищеварения и особенно при отсутствии в них изменений обследовали почки и мочевой пузырь. У 4,6% детей были определены отклонения, которые распределились следующим образом: 2,4% - односторонний гидронефроз, 1,7% - ротация и повышенная подвижность преимущественно правой почки, 0,1% - поликистоз и 0,4% - объемные образования (солитарная киста, эхинококковая киста, опухоль Вильмса, ангиомиолипома). Среди отклонений со стороны мочевого пузыря были определены утолщение и неровность внутреннего контура стенок и остаточная моча, что могло быть связано с наличием цистита или нейрогенного мочевого пузыря.
У 3,7% девочек были определены аднексит или одинарные кисты яичников.
Анализ результатов эхографического обследования всех детей с болями в животе в зависимости от возраста показал, что у детей дошкольного возраста чаще всего наблюдались изменения формы желчного пузыря, у детей до 10 лет - варианты формы желчного пузыря сочетались с дискинезией желчных путей, у детей от 11 до 16 лет преобладающими были изменения со стороны верхних отделов желудочно-кишечного тракта и яичников у девочек.
Таким образом, при жалобах ребенка на боли в животе должны быть обследованы все органы брюшной полости, мочевыделительной системы и малого таза. Практически во всех случаях диагностическое обследование может быть ограничено эхографией. Конечно, получая данные УЗИ, педиатр не должен забывать и о возможности развития хирургических заболеваний.
Хронический запор
Хронический запор является далеко не основной причиной болей в животе у детей, и это не самая частая жалоба ребенка или его родителей. Однако такое отклонение, встречающееся в настоящее время довольно часто, сопряжено с интоксикацией организма, циститом и пиелонефритом, особенно у девочек, а в запущенных случаях - с энкопрезом. Несмотря на то, что хронический запор должен своевременно распознаваться, на практике в силу неграмотности или невнимания родителей и того же невнимания со стороны педиатра или гастроэнтеролога его установление часто затягивается, что приводит к перечисленным выше изменениям.
Развитие хронического запора может быть связано с наличием каких-либо функциональных отклонений в толстой кишке, а также может являться основным симптомом заболевания или порока развития (аноректальный порок, болезнь Гиршпрунга, долихосигма, опухолевый процесс и др.).
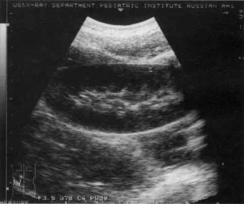
С помощью ультразвука обследовано более 1000 детей в возрасте от нескольких дней до 15 лет. Метод позволяет оценить размеры и структуру наружного сфинктера, размеры нижних отделов толстой кишки, лабильность и структуру их стенок, функциональные возможности внутренних сфинктеров и особенно - ректосигмоидного, форму сигмовидной кишки, функциональное состояние кишки. Ни один используемый в проктологии метод, кроме эхографии, не дает возможности визуализировать стенку кишки и ее внутренние сфинктеры.
90% обследованных детей с хроническими запорами имели функциональные отклонения толстой кишки в виде гипотонии и гипертонии стенок. Для гипотонуса были характерны легкая податливость стенок кишки при введении жидкости, расширение ампулы прямой кишки, сигмовидной кишки, отсутствие сопротивления току жидкости со стороны ректосигмоидного сфинктера и нечеткое разделение им просвета кишок. При гипертонусе все эти признаки были противоположны - незначительное расширение обеих кишок, четкая визуализация ректосигмоидного сфинктера и наличие дополнительных сфинктеров в просвете сигмовидной кишки, ее выраженная гаустрация. У ряда детей имело место сочетание гипо- и гипертонуса сигмовидной и прямой кишки. Эти два состояния имеют довольно четкую связь с возрастом для новорожденных, грудных детей и детей раннего возраста: более характерен гипертонус дистальных отделов толстой кишки.
Видимая на эхограммах стенка кишки, особенно прямой, состоит из трех слоев: наружного гиперэхогенного - серозного, среднего гипоэхогенного - мышечного и внутреннего эхогенного - слизистой. Наибольшие изменения при хроническом запоре претерпевает мышечный слой. В норме его толщина вне зависимости от возраста не превышает 2 мм. При длительном запоре толщина этого слоя может увеличиваться до 10 мм, нарушается его равномерность, т.е. развивается гипертрофия. При развитии процесса в гипоэхогенном мышечном слое появляются участки уплотнения в виде линейных тонких эхосигналов, происхождение которых связано с развитием участков склероза. Если гипертрофические изменения в мышечном слое носят, как правило, обратимый характер, то визуализация участков склероза в стенке кишки может быть расценена как патологический процесс. Перечисленные вторичные изменения в стенках толстой кишки характерны как для гипотонуса, так и для гипертонуса (рис. 7, 8).
Рис. 7. Эхограмма прямой и сигмовидной кишки (продольный срез) при гипотонусе.
Рис. 8. Эхограмма прямой и сигмовидной кишки (продольный срез) при гипертонусе.
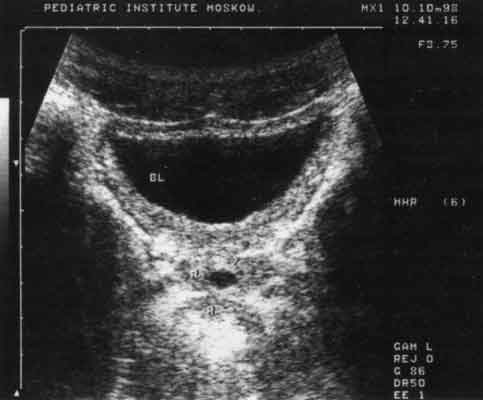
Хронические запоры у девочек являются причиной развития цистита и/или пиелонефрита, причем добиться положительного эффекта при лечении этих заболеваний бывает крайне затруднительно. Ликвидация же хронического запора сразу ведет к нормализации состояния мочевыводящих путей (рис. 9).
Рис. 9. Эхограмма мочевого пузыря при цистите (поперечный срез). Имеется резкое утолщение его стенок.
Информация, получаемая с помощью эхографии, очень важна для проктолога, так как характер лечебной тактики во многом зависит от тонуса кишки, состояния ее стенок.
Еще одним из показаний к обследованию дистальных отделов толстой кишки является подозрение на наличие полипа. Он может быть определен при локализации в области прямой или нижних отделах сигмовидной кишки, однако его необнаружение в ходе УЗИ не может быть гарантией отсутствия полипа (рис. 10). Вместе с тем визуализация образования дает возможность получить точную информацию о его размере, структуре.
Рис. 10. Эхограмма прямой (R) и сигмовидной (S) кишки (продольный срез). В просвете прямой - полип (обозначен стрелкой).
Во время УЗИ толстой кишки визуализируются и окружающие структуры, что позволяет исключить наличие объемного процесса в пресакральной области, оценить состояние мочевого пузыря, органов малого таза у девочек.
Диагностика болезни Гиршпрунга и долихосигмы сходна с рентгенологической. В первом случае определяется значительное расширение кишки (воронка) выше ее суженного отдела, имеющего выраженное утолщение стенок. Во втором обнаруживается одна или несколько дополнительных петель сигмовидной кишки, как правило, с нормальными стенками. Преимущество в этих случаях УЗИ перед рентгенографией состоит в его значительно большей доступности, простоте применения, отсутствии ионизирующей радиации. Вместе с тем метод эхографии является как бы дополнительным, скрининговым методом, на основании результатов которого решаются вопросы дальнейшей диагностической и/или лечебной тактики для конкретного ребенка (рис. 11).
Рис. 11. Эхограмма прямой (R) и сигмовидной (S) кишки при болезни Гиршпрунга.
Инфекция мочевыводящих путей, энурез
Наиболее частыми причинами посещения ребенком нефролога или уролога являются изменения в анализах мочи и ночное недержание мочи. Анализ данных, полученных при обследовании значительного количества таких детей, позволяет говорить, что в первом случае с помощью эхографии могут быть исключены или установлены врожденная аномалия развития почек, наличие обструкции мочевыводящих путей с примерным определением ее места, острый гломерулонефрит и пиелонефрит, обострения этих состояний, с некоторой долей вероятности может быть предположен пассивный пузырно-мочеточниковый рефлюкс. Определение остаточной мочи при правильной подготовке пациента, заключающейся в отсутствии специальной водной нагрузки, а также утолщение стенок мочевого пузыря и наличие эхогенной мочи, определяемой в его просвете, позволяют предположить наличие нейрогенного мочевого пузыря или цистита, что может быть одной из причин энуреза.
Следует подчеркнуть, что при направлении на эхографию почек не нужно назначать специальную водную нагрузку. Обследовать ребенка необходимо при естественно заполненном мочевом пузыре, особенно при оценке последнего на предмет остаточной мочи. В 99% случаев повторное исследование мочевого пузыря после микции выполняется через 5, а то и 10 мин. Для заполнения же мочевого пузыря после водной нагрузки на треть или половину его объема бывает достаточно 1 - 2 мин. В результате дается неверное заключение о наличии остаточной мочи и делаются соответствующие выводы.
В фазу ремиссии гломерулонефрита и пиелонефрита эхографическая картина почек, как правило, соответствует норме и какие-либо специфические ультразвуковые признаки отсутствуют.
Одной из распространенных ошибок является установление по результатам УЗИ почек наличия в собирательной системе "песка" или "солей". Обычно в этих случаях на эхограммах определяются уплотненные стенки сосудов, расположенных в стенках собирательной системы. В ряде случаев это изменение сочетается с увеличением кристаллов солей в анализах мочи, но оно же регистрируется и у детей, имеющих нормальные анализы, причем независимо от возраста, а также при ряде хронических болезней, особенно если в их лечении используются гормональные и цитостатические препараты (рис. 12).
Рис. 12. Эхограмма почки (продольный срез) при уплотнении стенок сосудов собирательной системы.
Важно помнить, что информация, полученная с помощью эхографического исследования почек, ограничивается оценкой макроструктуры почки, даже при использовании современных допплеровских методов. Поэтому совершенно не исключено, что даже при наличии клинической картины и относительно выраженных изменений в анализах мочи данные эхографии будут соответствовать норме. В связи с этим смысл направления ребенка с инфекцией мочевыводящих путей на такое исследование состоит в исключении каких-либо аномалий развития почек и патологии, связанной с обструктивными процессами. С другой стороны, эти же изменения с не меньшей частотой могут выявляться случайно при отсутствии клинико-лабораторных признаков.
Заключение
Целью данной работы было показать возможности эхографии при наиболее распространенных изменениях, встречающихся у детей. Хотелось бы еще раз подчеркнуть, что метод ультразвуковой диагностики обладает блестящими характеристиками, но он, пожалуй, как ни один другой визуальный метод, дважды субъективен. Это связано с тем, что получение изображения, которое должен интерпретировать врач в отличие от других методов (рентгенологический, компьютерная томография и др.), целиком зависит только от него. Для уменьшения влияния элементов субъективности необходимы отличное знание используемой аппаратуры, опыт и весьма трезвый подход к трактовке полученных эхограмм, чтобы желаемое не выдавать за действительное.
Литература:
- Дворяковский И.В. Эхография внутренних органов у детей. М.: Росс. ассоц. вр. ультразвуковой диагностики в перинатологии и гинекологии 1994; 455.
- Дворяковский И.В., Беляева О.А. Ультразвуковая диагностика в детской хирургии. М.: Профит, 1997; 240.
